Publié le :
05/05/2020 10:19:28
Catégories :
Blog dentaire
Article rédigé par le Docteur LAMBOLEY Georges Chirurgien Dentiste
Auteur: Docteur LAMBOLEY georges Chirurgien dentiste

Pour faire simple,la résection apicale est l'acte chirurgical effectué par un chirurgien dentiste ou un stomatologue qui consiste à réséquer,couper,l'apex d'une racine d'une dent.L'apex étant le "bout de la racine".



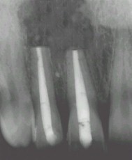
Les deux incisives présentent Traitement des canaux -resection 6 mois après-la radio se densifie
un kyste apicale-kyste enlevé -tache noire la tache est moins noire l'os se
correspondant au vide osseux reconstitue -guérison
En cas de granulome ou de kyste dont le traitement par la voie classique,c'est à dire un retraitement des canaux a échoué ou est impossible.Le traitement classique doit toujours être envisagé en première intention:ce n'est qu'en cas d'échec de celui ci que la chirurgie peri apicale sera envisagée.Source (CASTELUCCI 2003)
Si votre dentiste vous a décelé un granulome , il s'agit une petite prolifération tumorale bénigne inflammatoire qui se développe suite à une à une invasion microbienne au sein d'un canal dentaire.
Une dent dévitalisée peut présenter un granulome ,si le traitement de canal effectué lors de la dévitalisation dentaire a été imparfaitement réalisé.
Une dent peut aussi présenter un granulome sur une dent qui s'est mortifiée à bas bruit suite à des mini chocs répetés,mauvaise occlusion ou minitraumatismes comme cisailler du fil sans cesse comme les couturières ou les pêcheurs qui cisaillent leurs fils de pêche avec leur dent.
En cas d'abcès dentaire occasionné par un granulome qui entre dans une phase infectieuse chaude.Un granulome peut être présent sans signes cliniques pendant de nombreuses années et se "réveiller" soudainement suite à une baisse des défenses immunitaires du patient.
Dans le cas de kyste dentaire,c'est en général un développement tumoral plus important qu'un granulome .Un kyste se développe au détriment de l'os alvéolaire et peut atteindre une dimension importante de la grosseur d'une noix.
Dans tous ces cas,il faudra éliminer le granulome ou kyste et exécuter une résection apicale.
Généralement un granulome ou un kyste qui se développe à l'extrémité d'une racine,entoure celle ci sur un ou plusieurs millimètres sur tout son pourtour.Si le granulome se développe,il peut se transformer en kyste qui lui même se développe au détriment de l'os.Il peut prendre des proportions importantes et se propager dans les sinus .Un granulome est une infection latente qui évolue à bas bruit et entretient une infection chronique qui peut entraîner une endocardite d'Osler,qui peut endommager les valves cardiaques.
Le principal but d'une résection apicale est d'extraire le granulome ou le petit kyste afin de ne pas être obligé d'extraire la dent.Les dentistes qui ne procèdent pas ainsi enlèvent la dent et le kyste qui y est accroché et remettent un implant pour remplacer la dent manquante.C'est une solution radicale mais onéreuse.
Lors de l'intervention chirurgicale,si le praticien ne coupe pas une petite portion de la racine,il peut avoir des difficultés à procéder à l'éviction complète du granulome ou du kyste,gêné par la présence de l'apex de la racine.En procédant à une résection apicale,il n'y aura plus aucun obstacle au champ opératoire et de ce fait ,il pourra être certain de tout avoir extirpé sans oublier un morceau de granulome qui pourrait à nouveau se développer.

Tout d'abord,le dentiste vous fera une anesthésie locale.Puis après quelques minutes,il incisera à l'endroit supposé de la présence du granulome qu'il aura identifié préalablement avec une radiographie dentaire.
Une fois l'incision effectuée avec un bistouri ou un laser au C02 et la gencive dégagée,il sera en présence directement du granulome si celui ci a déjà détruit la table externe osseuse.Le travail sera facilité car il n'aura pas à atteindre le granulome en fraisant l'os pour atteindre le granulome.
C'est le meilleur des cas pour le praticien et pour le patient,car cela évite de fraiser l'os "osteotomie" bien que ce ne soit pas douloureux,mais la sensation d'une perforation d'une fraise est désagréable.
Une fois le granulome identifié,il procédera à la résection apicale proprement dite c'est à dire qu'il sectionnera deux ou plusieurs millimètres de l'extrémité de la racine pour dégager son champ opératoire.Ensuite le dentiste procédera à son éviction compléte minutieusement avec de petites curettes.L’intérêt du curetage est d’éliminer le tissu mou pathologique et d’obtenir un accès direct à la surface radiculaire.Il faut avoir un contact bien intime avec toutes les parties osseuses qui contenait le granulome pour être certain d'avoir éliminé toute trace de tissu granulomateux.
Dans un deuxième temps,il peut aussi retraiter correctement le canal pour avoir une obturation canalaire parfaite.Le traitement de canal peut aussi être effectué avant l'intervention,bien sûr.Ensuite il peut recombler l'espace vacant par une apposition d'os synthétique pour faciliter la reconstitution osseuse.Il faut savoir que le retraitement du canal est beaucoup plus important que l'eviction compléte du tissu pathologique,en effet,’élimination totale des bactéries intra-canalaires, c’est-à-dire l’étiologie même de la lésion, s’avère bien plus importante pour la guérison de la lésion que son curetage complet. Source:(GUTMANN et HARRISON, 1991)
La plaie sera refermée par quelques points de suture.Les points de suture seront gardés pendant huit jours.Après avoir repositionné le lambeau, celui-ci est suturé dans sa position initiale pour favoriser l'hémostase, permettre une bonne coaptation entre le tissu osseux et le lambeau, et permettre une bonne cicatrisation des tissus mous.Source: (FAHEY et Coll, 2011)

Les complications post opératoires sont extrêmement rares,en général ,l'épisode douloureux peut durer quelques jours,mais un traitement antalgique et antinflammatoire parvient à le maîtriser.
- L’œdème dans la zone opérée est possible. Il est imprévisible et varie d’une personne à l’autre.
Un gant de toilette rempli de glace sera appliqué sur le visage à l'endroit de l'intervention .Il vaut mieux aussi s'abstenir de fumer pour éviter une mauvaise cicatrisation gingivale.
L'os quant à lui,se reconstituera en 6 mois environ,une radio de contrôle permettra de visualiser cette guérison et reconstruction ,car l'image radio claire du granulome aura laissé la place à une radio parfaitement normale avec une densification osseuse notoire.Les travaux prothètiques pourront commencer si le besoin s'en fait sentir.
En général ,il n'y a aucune récidive si le praticien a absolument tout enlevé le granulome et bien retraité le canal dentaire.
Le tarif de convention est de 31,25€ remboursés à 70% par la Sécurité Sociale.Inutile de vous préciser qu'en raison de ce faible taux de remboursement,un dépassement d'honoraires pourra vous être demandé pour une intervention qui dure entre une demi heure et 3/4 heures
Les dépassements d'honoraires variables entre 100 et 300 € peuvent être pris en charge par les mutuelles.
BIBLIOGRAPHIE: CASTELLUCI Castellucci A. Advances in surgical endodontics. Inf Endod. 2003; 6 (1): 1-16
(FAHEY et Coll, 2011)
VERTOMMEN CHRISTELLE LA CHIRURGIE APICALE : LES DONNEES ACQUISES DE LA SCIENCE http://docnum.univ-lorraine.fr/public/BUPHA_TD_2013_VERTOMMEN_CHRISTELLE.pdf