Publié le :
05/05/2020 23:23:06
Catégories :
Blog dentaire
Article rédigé par le Docteur LAMBOLEY Georges Chirurgien Dentiste
Sommaire
1 L'occlusion dentaire.c'est quoi?
2 Qu'est ce que l'articulation temporomandibulaire?
3 Les différents types de malocclusion:supraclusion
7 Conséquences d'une surocclusion dentaire
L’occlusion dentaire est le positionnement et l’alignement des dents de la mâchoire supérieure avec celles de la mâchoire inférieure, quand la bouche est au repos. Quand les dents du maxillaire supérieur s’emboîtent correctement avec les dents de la mandibule, on parle de bonne occlusion. À l’inverse, quand les dents sont très avancées, espacées, chevauchées, etc., on parle alors de malocclusion. Quelque soit le type de malocclusion dentaire détecté, votre dentiste sera amené à rééquilibrer votre occlusion dentaire qui est un élément fondamental au bon fonctionnement de l’appareil manducateur, mais aussi d'un point de vue esthétique.
L’ATM est la jointure entre la mâchoire inférieure et l’os temporal du crâne. Elle joue un rôle essentiel dans la mobilité de la mâchoire inférieure (mouvements de droite à gauche, de bas en haut, etc.). Toute mauvaise configuration de l’occlusion dentaire aura des répercutions sur le mécanisme des articulations temporo-mandibulaires qui participent au fonctionnement de la parole, de la mastication, de la déglutition ainsi que du bâillement.

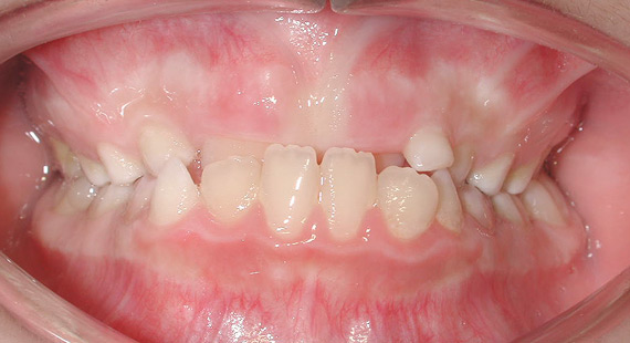
Un sujet très connu en orthodontie, qui est le mauvais alignement des dents :
Diverses raisons peuvent expliquer cette malformation, comme une bouche étroite, une différence de taille du maxillaire, un traumatisme suite à une chute, sucer son pouce, parler avec un cheveu sur la langue, etc. Le chirurgien-dentiste ou l’orthodontiste aura recours à un traitement orthodontique pour ajuster les mâchoires afin que celles-ci aient un positionnement correct. Plusieurs solutions sont possibles : la pose d’un appareil orthodontique fixe ou invisible, ou bien l'utilisation d’une gouttière. Le but de l'utilisation d'un appareil dentaire est d'effectuer une légère pression sur les dents afin que celles-ci soient poussées, jusqu'à ce qu'elles retrouvent un alignement optimal. La durée du traitement varie d’un patient à l’autre, selon l'ampleur du problème. La plupart du temps un appareil orthodontique demande à être porté durant deux ans.

L’infraclusion ou la béance dentaire se présente lorsque les dents supérieures ne sont pas en contact avec les dents inférieures, bouche fermée. On peut alors apercevoir un vide entre les deux maxillaires. Il existe trois formes d’infraclusion :
Ce problème est lié la plupart du temps à un mauvais positionnement et/ou une mauvaise utilisation de la langue, qui empêche le bon développement des dents. On constatera une langue positionnée beaucoup trop vers le bas, qui aura toujours tendance à venir s’appuyer sur les dents inférieures, elle nuira donc à leur croissance et sera source d'une mauvaise respiration buccale. Dans cette situation, le chirurgien-dentiste ou l’orthodontiste proposera au patient soit un appareil orthodontique accompagné d’une grille anti-langue, soit un appareil de rééducation linguale, ou encore l’extraction des prémolaires. Des séances d’orthophonie seront aussi recommandées afin d'aider le patient à adopter de bonnes habitudes (corriger l'articulation, apprendre à respirer, rectifier la déglutition, etc.).

En occlusion normale,quand les dents sont serrées,les dents du haut recouvrent les dents du bas.
Il arrive ,inversement ,que toutes les dents du bas recouvrent les dents du haut.c'est un articulé inversé global,appelé prognatie,caractéristique de ce faciès au menton en avant.
Malgré cet apparent déséquilibre,l'occlusion de ces personnes peut être stable et ne pas perturber l'équilibre postural.
Par contre,l'articulé inversé localisé à une ou plusieurs dents,est pratiquement toujours associé à des troubles posturaux (douleurs cervicales,dorsales,acouphénes)
Dans certains cas, une couronne peut avoir été mal ajustée, ce qui entraînera de fortes douleurs souvent lors d’une pression ou quand la bouche est au repos. Toute personne rencontrant un tel problème suite à la pose d’une couronne doit se rendre chez son chirurgien-dentiste qui effectuera un rééquilibrage, souvent en limant légèrement la couronne. Si aucune correction n’est faite, la couronne en surocclusion occasionnera de sérieux problèmes d’articulation.Si vous on vous a posé une couronne en surocclusion,lorsque vous fermez les dents,le contact se fait d'abord sur cette dent,et toute la charge masticatoire repose sur cette dent .La céramique peut alors se briser sous la force occlusale.Le mieux est d'enlever la couronne et de la resceller correctement avec un ciment dentaire.
Si une ou plusieurs dents reçoivent une force trop importante,on parle de contacts prématurés ou sur occlusion.Par exemple une couronne trop haute.Les conséquences peuvent être nombreuses,toujours néfastes,pour la santé dentaire,voire la santé en général:
Une malocclusion sera l’une des principales causes du syndrome de Costen, appelé aussi syndrome de dysfonctionnement de l’articulation temporo mandibulaire (SADAM), qui est la source de nombreux problèmes de santé non diagnostiqués. Comme par exemple, une migraine chronique, des vertiges, un sommeil perturbé, des douleurs cervicales (arthrose, scoliose, etc.), ou encore des problèmes auditifs.
D'autres symptômes situés au niveau de la mâchoire peuvent apparaître :
Il existe également des signes qui ,au lieu d'avoir pour origine des contacts prématurés,ont pour origine,un manque de contact.On parle de sous-occlusion lorsque ce manque est localisé à une ou plusieurs dents et de perte de DVO(dimension verticale d'occlusion) si la perte de hauteur est localisée sur la totalité des dents;elle est souvent accompagnée d'une déviation mandibulaire.
la perte de DVO mais surtout la déviation mandibulaire ont,des répercussions sur l'équilibre postural.L'équilibre postural,c'est l'harmonisation des tensions au niveau des muscles déterminant la position du squelette dans les trois directions de l'espace.
La mandibule est le seul os mobile de la face.Elle est reliée par des chaînes musculaires symétriques droite et gauche aux os du crâne,aux cervicales et au thorax.Ces structures osseuses sont elle mêmes reliées au reste du corps par des articulation et des chaînes musculaires et cela jusqu'à la plante des pieds.on imagine ainsi que toute déviation mandibulaire provoque un étirement des chaînes musculaires symétriques de l'autre côté.On observe une bascule du corps(tête,épaule,hanches)et une torsion au niveau de la colonne vertébrale(attitude scoliotique et scoliose).Les tensions présentes se manifestent souvent par des contraintes,donc des douleurs,quand le corps ne peut plus compenser par des attitudes d'évitement
Un dysfonctionnement de l’ATM aura de lourdes conséquences sur tout l’équilibre du corps, allant de la tête au pied. On comprend donc qu’un traitement orthodontique à lui seul, ne suffira pas pour régler un problème relié à une occlusion dentaire. La coopération entre chirurgien-dentiste et ostéopathe est importante, cela permettra d'avoir un meilleur résultat sur un long terme, mais aussi ce sera un moyen efficace de réduire la durée du traitement. L'ostéopathie aura pour but de rééduquer le mécanisme crânien afin d'apporter une meilleure posture de l'ensemble du corps et de soulager les souffrances quotidienne du patient (maux de tête, de dos, etc.) qui se réfèrent à une malocclusion dentaire.
Pour finir, une occlusion dentaire peut avoir un impact sur tout l'organisme, si celle-ci présente une quelconque anomalie. Une malocclusion sera la cause d'une désorganisation du système nerveux et musculaire. Soyez donc attentifs face à un symptôme récurent relevant de la mâchoire. N'hésitez pas à consulter votre chirurgien-dentiste qui effectuera des examens complémentaires afin de vérifier le bon positionnement de vos dents. Si votre occlusion dentaire est mal en point, votre praticien se chargera de mettre en place un traitement adapté.
À noter : une mauvaise occlusion dentaire peut aussi apparaître suite à la pose d'un appareil dentaire ou d'une extraction dentaire. C'est pour cela qu'il est impératif d'effectuer des contrôles réguliers suite à un traitement orthodontique ou chirurgical, pour prévenir tout risque de nouvelle venue de malocclusion et agir au plus vite.
BIBLIOGRAPHIE:
Pauline PICARD These UNIVERSITE NANCY ANNEE 2015 OCCLUSION DENTAIRE, POSTURE ET PERFORMANCES SPORTIVES
http://docnum.univ-lorraine.fr/public/BUPHA_TD_2015_PICART_PAULINE.pdf
Doria ROUMIGUE SYMPTOMATOLOGIES ET ETIOLOGIES DES TROUBLES DE L’OCCLUSION : ANALYSE DE PLUS DE 650 QUESTIONNAIRES PATIENTS http://thesesante.ups-tlse.fr/1589/1/2016TOU33083.pdf
Nicolas FOUGERONT Neurophysiologie de l’occlusion
https://aos.edp-dentaire.fr/articles/aos/pdf/2018/04/aos2018290article3.pdf